Orthophos LS 3D snimanje u Dental Fiume u Rijeci
Revolucionarna tehnologija u Dental Fiume, patentirana rješenja za pozicioniranje i najsvestranije značajke 2D/3D hibridne jedinice — sve se to povezuje kako bi se stvorilo jedinstveno rješenje za snimanje. A opcionalna ceph kraka dodaje još više prednosti.
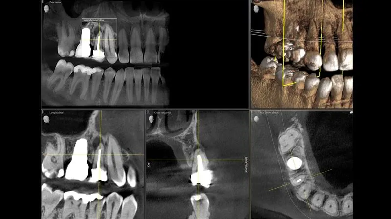
Vrhunski 2D/3D vrhunski uređaj za prakse s pažljivim razumijevanjem najnovijih tehnologija i za one koji jednostavno žele više. Integrirani senzor izravne pretvorbe (DCS) potpuno redefinira standard panoramskog snimanja — pružajući jedinstvenu oštrinu. Imenjak, tehnologija Sharp Layer, pruža automatsko fokusirane panoramske slike, čak i u teškim slučajevima. Orthophos SL jamči maksimalnu jednostavnost korištenja kroz automatsko pozicioniranje, intuitivan rad s EasyPadom i nudi individualno podesivo ambijentalno svjetlo za ekskluzivan izgled i osjećaj.
Kontaktirajte nas danas da zakažete svoj BESPLATNU konzultaciju i saznajte više o ovom rješenju.
Zašto ste odabrali Dental Fiume za vaše potrebe radiologije zuba?
- Izvanredne slike: Jedinstveni DCS senzor za najbolju kvalitetu slike
- Pouzdane oštre slike: Tehnologija Sharp Layer nudi mogućnost prikazivanja pouzdane oštrine na različitim razinama
- 3D prema vašim potrebama: Pomoću funkcije Low Dose i HD možete stvarati 3D slike u rasponu doza 2D rendgenskih i HD slika rezolucije do 80 μm
- Sveobuhvatni panoramski i cefalometrijski programi: Za slike ugriza, sinusa ili Ceph, opcionalni krakovi ceph s lijeve ili desne strane i mogu se naknadno ugraditi u bilo koje vrijeme
- Sigurno i dokazano pozicioniranje pacijenta: S motoriziranim nosačem za sljepoočnicu i čelo, automatskim mjerenjem širine sljepoočnice, svjetlosnim lokalizatorima i čvrstim ručkama
- Fleksibilni volumen: Od ø 5 cm x 5,5 cm do ø 11 cm x 10 cm


